Cắt đáy sẹo (subcision) là một trong những phương pháp hiệu quả giúp cải thiện sẹo rỗ lâu năm. Tuy nhiên, sau thủ thuật, nhiều người nhận thấy da xuất hiện mụn viêm hoặc sần đỏ và lo lắng đây là biến chứng. Thực tế, nổi mụn sau cắt đáy là phản ứng khá thường gặp và không phải lúc nào cũng đáng lo. Hãy cùng Doctor Acnes tìm hiểu nguyên nhân, cách xử lý và phòng ngừa hiện tượng này nhé.
Hiểu đúng về hiện tượng nổi mụn sau cắt đáy sẹo
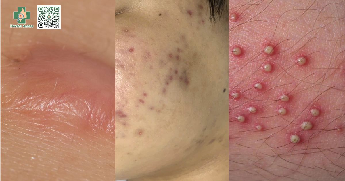
Sau khi cắt đáy, vùng điều trị có thể xuất hiện các nốt mụn nhỏ, mụn viêm hoặc sẩn đỏ nhẹ. Đây là phản ứng tự nhiên của da trong quá trình hồi phục, không được xem là biến chứng nếu diễn ra trong thời gian ngắn và được chăm sóc đúng cách.
Nguyên nhân chính là do cơ thể kích hoạt phản ứng viêm lành thương để tái tạo collagen và mô mới. Phản ứng này giúp da phục hồi cấu trúc, nhưng cũng khiến tuyến bã nhờn hoạt động mạnh hơn, dễ làm xuất hiện mụn tạm thời.
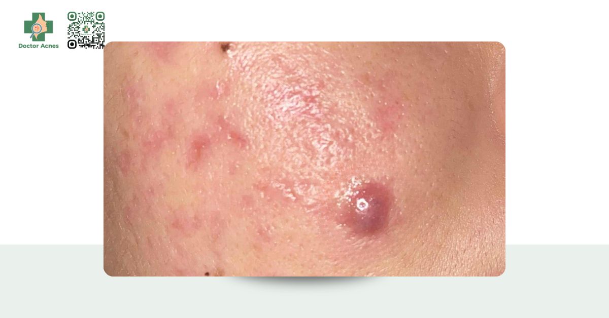
Nếu phản ứng viêm diễn ra quá mạnh hoặc kéo dài hơn 2 tuần, kèm đau rát, sưng nhiều hay rỉ dịch, rất có thể da đã bị viêm nhiễm thứ phát. Khi đó, cần quay lại cơ sở điều trị để được Bác sĩ kiểm tra và kê thuốc kháng viêm hoặc kháng sinh phù hợp.
Trường hợp phản ứng viêm quá mức hoặc bị bội nhiễm có thể dẫn đến:
- Sẹo tái dính do mô xơ mới hình thành sớm.
- Thâm sau viêm kéo dài, đặc biệt ở người có làn da sẫm màu.
- Sẹo phì đại hoặc sẹo lồi nếu cơ địa dễ sẹo lồi.
- Viêm mô dưới da hoặc viêm nang lông lan tỏa, khiến vùng điều trị sưng đau, đỏ nhiều, nhiễm trùng, thậm chí rỉ dịch.
Nếu chỉ là phản ứng nhẹ và được chăm sóc đúng hướng dẫn, tình trạng mụn sẽ giảm dần sau vài ngày đến vài tuần, da tiếp tục hồi phục và ngày càng mịn màng, đều màu hơn.

Vì sao sau cắt đáy sẹo lại bị nổi mụn viêm?
Phản ứng viêm lành thương tự nhiên
Sau khi cắt đáy sẹo, cơ thể sẽ khởi động quá trình lành thương gồm 4 giai đoạn, gồm cầm máu, viêm, tăng sinh và tái tạo mô. Trong đó, pha viêm diễn ra trong khoảng 3 ngày đầu, là thời điểm các tế bào miễn dịch được huy động đến vùng tổn thương để dọn dẹp mô hoại tử và kích thích tái tạo mô mới. Quá trình này có thể khiến vùng da điều trị xuất hiện các sẩn đỏ hoặc mụn viêm nhẹ, là phản ứng sinh lý bình thường của cơ thể.
Tuyến bã hoạt động mạnh và lỗ chân lông bị bít tắc
Sau thủ thuật, nhiều người phải bôi thuốc mỡ kháng sinh hoặc dưỡng phục hồi da. Nếu bôi quá dày hoặc chăm sóc chưa đúng cách, lỗ chân lông dễ bị bít tắc, dẫn đến hình thành mụn viêm.
Da nhạy cảm tạm thời sau can thiệp
Hàng rào bảo vệ da sau cắt đáy thường yếu hơn bình thường, khiến da nhạy cảm hơn với bụi bẩn, vi khuẩn hoặc các sản phẩm chăm sóc không phù hợp.
Chăm sóc sau thủ thuật chưa đúng cách
Việc rửa mặt quá mạnh tay, chạm tay lên da thường xuyên hoặc sử dụng mỹ phẩm không phù hợp trong giai đoạn da đang hồi phục đều có thể kích thích viêm và nổi mụn.

Nổi mụn viêm sau cắt đáy có ảnh hưởng đến kết quả điều trị không?
Mụn viêm nhẹ sau cắt đáy thường không ảnh hưởng đến hiệu quả điều trị sẹo, bởi quá trình tăng sinh collagen vẫn diễn ra bình thường. Bác sĩ có thể kê thêm thuốc bôi hoặc thuốc uống kháng viêm, kháng khuẩn để kiểm soát tình trạng mụn, giúp da phục hồi nhanh và ổn định hơn.
Chỉ khi mụn viêm lan rộng, nhiễm trùng sâu hoặc người điều trị tự ý nặn mụn, chạm tay lên vùng da tổn thương thì mới làm tăng nguy cơ hình thành sẹo mới hoặc khiến sẹo cũ tái dính. Do đó, việc theo dõi và tái khám đúng hẹn là rất quan trọng để đảm bảo da được phục hồi đúng tiến trình.

Cách xử lý khi bị nổi mụn viêm sau cắt đáy sẹo
Khi xuất hiện mụn viêm sau cắt đáy, điều đầu tiên cần làm là giữ bình tĩnh và không tự ý can thiệp. Trong đa số trường hợp, đây chỉ là phản ứng tạm thời của da trong quá trình hồi phục, có thể kiểm soát dễ dàng nếu xử lý đúng cách.
- Giữ da sạch nhưng không rửa quá nhiều lần: chỉ nên rửa bằng sữa rửa mặt dịu nhẹ hoặc dung dịch sát khuẩn 2 lần mỗi ngày hoặc theo hướng dẫn. Việc rửa mặt quá nhiều có thể khiến da khô, mất lớp màng bảo vệ tự nhiên và làm viêm nặng hơn.
- Không nặn hoặc chích mụn tại nhà: sau cắt đáy, mô da đang trong giai đoạn tái tạo nên rất dễ tổn thương. Việc tự nặn có thể khiến vi khuẩn xâm nhập sâu hơn, gây viêm lan rộng hoặc hình thành sẹo mới.
- Dùng thuốc đúng chỉ định: Bác sĩ có thể kê thuốc uống hoặc thuốc bôi chứa các hoạt chất như benzoyl peroxide, acid azelaic hoặc adapalene hoặc kháng sinh đường bôi để kiểm soát phản ứng viêm và ngăn ngừa nhiễm khuẩn thứ phát. Tuyệt đối không tự mua thuốc điều trị khi chưa được thăm khám, vì có thể khiến da kích ứng hoặc kháng thuốc.
- Tạm ngưng các sản phẩm dưỡng da hoặc mỹ phẩm gây bít tắc: trong thời gian da đang viêm, nên tạm dừng các sản phẩm chứa retinoid, AHA/BHA, dầu khoáng hoặc hương liệu. Chỉ sử dụng kem dưỡng phục hồi, dịu nhẹ, có khả năng cân bằng độ ẩm và làm dịu da.
- Theo dõi sát phản ứng của da và tái khám đúng hẹn: nếu mụn viêm lan rộng, đỏ đau hoặc kèm theo sưng nhiều, nên đến ngay cơ sở nơi đã thực hiện điều trị để được Bác sĩ kiểm tra và xử lý kịp thời. Việc tái khám giúp đánh giá tiến trình hồi phục và điều chỉnh phác đồ nếu cần thiết.

Cách phòng ngừa mụn viêm sau cắt đáy sẹo
Để hạn chế tình trạng nổi mụn sau thủ thuật và giúp da phục hồi tốt nhất, cần tuân thủ những hướng dẫn sau:
- Lựa chọn cơ sở uy tín có quy trình vô khuẩn nghiêm ngặt: thực hiện cắt đáy tại Bệnh viện hoặc Phòng khám Da liễu đạt chuẩn, nơi Bác sĩ sử dụng dụng cụ vô trùng và tuân thủ quy trình kiểm soát nhiễm khuẩn chặt chẽ sẽ giúp giảm đáng kể nguy cơ hình thành mụn viêm sau thủ thuật.
- Giữ da sạch và tránh tác động lên vùng điều trị: rửa mặt nhẹ nhàng bằng dung dịch sát khuẩn hoặc sữa rửa mặt dịu nhẹ theo chỉ định của Bác sĩ. Không chạm tay, nặn mụn hoặc tác động cơ học lên vùng da đang lành để giảm nguy cơ viêm nhiễm.
- Dưỡng phục hồi đúng cách: sử dụng thuốc bôi hoặc sản phẩm phục hồi theo hướng dẫn, không tự ý thay đổi loại hoặc liều lượng.
- Hạn chế mỹ phẩm và chống nắng kỹ: trong 5 – 7 ngày đầu sau cắt đáy, nên tránh trang điểm hoặc dùng sản phẩm chứa hương liệu, acid, retinol. Khi ra ngoài, dùng kem chống nắng vật lý dịu nhẹ và che chắn kỹ.
- Tái khám đúng lịch: giúp Bác sĩ theo dõi tiến trình lành da, xử lý kịp thời nếu xuất hiện mụn viêm bất thường.

Nổi mụn viêm sau cắt đáy sẹo là hiện tượng thường gặp và thường chỉ mang tính tạm thời, không ảnh hưởng đến hiệu quả làm đầy sẹo nếu được kiểm soát đúng cách. Điều quan trọng là giữ da sạch, tuân thủ hướng dẫn của Bác sĩ và tái khám đầy đủ. Nếu da có dấu hiệu viêm kéo dài, đau rát hoặc sưng nhiều, hãy đến Phòng khám Da liễu Doctor Acnes để được thăm khám và điều trị kịp thời.
Tài liệu tham khảo
- Alam M, Omura N, Kaminer MS. “Subcision for acne scarring: technique and outcomes in 40 patients”. Dermatol Surg. 2005 Mar;31(3):310-7; discussion 317
- Bhargava S, Kumar U, Varma K. “Subcision and Microneedling as an Inexpensive and Safe Combination to Treat Atrophic Acne Scars in Dark Skin: A Prospective Study of 45 Patients at a Tertiary Care Center”. J Clin Aesthet Dermatol. 2019;12(8):18-22
- Chandrashekar B, Nandini A. “Acne scar subcision”. J Cutan Aesthet Surg. 2010;3(2):125-126. doi:10.4103/0974-2077.69029
- “Subcision”. Dernetnz


